避孕环是什么原理(避孕环、节育环、宫内节育器是个啥)

节育环也叫避孕环,在国内计生委的强力推广下,拥有众多用户,是超主流的避孕方式之一。
大家知道,我谈避孕方式,都是从原理着手的,今天也就从原理入手,来扒扒节育环吧。
我们先来看看节育环的发展:
以下内容来自百度百科——节育环,有删改
发展历程
宫内节育器(Intrauterine Device,IUD)又称节育环,由古代发展而来;
据记载古代阿拉伯和土耳其人在骆驼子宫内放入小石块,以防止骆驼在沙漠长途旅行中妊娠;
19世纪后期,金属制成的有柄托的应用,可以纠正子宫位置,也可作为引产;
1909年,波兰医师Richard Richter,以蚕肠线制成环形节育器,用带缺口的棒送入宫腔;
1923年,K.Pust将蚕肠线环和有柄托结合,因盆腔感染受到医师反对,而未能推广;
1920年后,由蚕肠线和银丝制成的星形格氏环在德国普及;
1925年日本Ota设计车轮状塑料环;
1934年Ota环应用金和涂金的银环,据称其效果高于格氏环;
1974年以塑料IUD为载体加入金属、激素和抗出血药物等,称为第二代的活性IUD。
看来节育环的历史也特别悠久,是阿拉伯人发明的,最早是用于给骆驼避孕用的。
呐,再回到原理上。我们知道,所有避孕方式的原理只有4种,也就是阻止怀孕4个步骤的其中之一,包括:1、卵巢排卵;2、小JJ射精;3、精卵结合;4、受精卵着床。
节育环是作用在第四步上,也就是通过阻止受精卵着床来实现避孕的。
呐,再回看一遍节育环的发展历程,我们发现节育环的材质有石头、蚕肠线、塑料、金、银等金属、激素、抗出血药物等;形状有环形、带柄托、星形、车轮形等。

好的,我们知道了,节育环的形状和材质都不重要,哪怕是把我的眼药水给塞到子宫里,都可以像节育环一样实现避孕。

这到底是为啥呢?
其实特别简单。你想想,女孩12岁左右月经初次来潮,有了生育能力;女人50岁左右绝经,失去生育能力。也就是说,月经是生育能力的一个重要指标,会来月经的女人,才有怀孕的可能。
而月经出血到底是什么,不就是子宫内膜的脱落吗?
女人为了生孩子是很拼的。每个月经周期内,排卵、升高体温、换新子宫内膜等操作都会进行一次,就是为了可以顺利地怀孕并且生下健康的宝宝。
为了怀孕,女人每个月经周期都要更换一次子宫内膜。而节育环这样一个异物放到子宫里,新换的子宫内膜都让它第一时间给糟蹋了,这让女人如何正常怀孕呢?
节育环的种类:

上图这几个是前几天杭州拱墅区计生委给我们的节育环,是最常用的几个。

这几个呢,都是塑料或者金属材质的,附加了铜和吲哚美辛,应该是计生费免费发放给大家的。
我在图上把铜和吲哚美辛称为Buff,这是因为铜和吲哚美辛都是有其他附加用途的。
铜离子在子宫内不断释放,可以增加宫颈粘液的粘稠度,阻止精子穿透宫颈粘液,并使精子头尾分离,从而失去前进的动能。而宫颈粘液的改变,还会使卵子受到明显的影响,甚至减缓了卵巢排放卵子的速度。

吲哚美辛又名消炎痛,适用于消解炎症疼痛,还可以缓解痛经,消炎去热。把吲哚美辛通过硅橡胶等载体植入节育环中,可以使节育环在宫腔内持续以低剂量释放吲哚美辛。吲哚美辛的释放可以治疗节育环对子宫刮擦造成的炎症,还可以缓解经期疼痛,减少经期的出血量等。

含铜或者吲哚美辛的节育环,被称为活性节育环。不含这些附加Buff的则被称为惰性节育环。
活性节育环还有一种:

上面这个呢,叫曼月乐,不是免费的哦,价格在1400元左右的,可以用5年左右。材质是塑料的,形状是T型的,但是含的Buff不是铜或者吲哚美辛了,而是52mg的左炔诺孕酮。
呐,这个左炔(que)诺孕酮(tong)是种孕激素,听起来好神秘,到底是什么玩意呢?
其实就是毓(yu)婷(ting)啦。。。。。。


2片0.75mg的左炔诺孕酮揉成1片1.5mg的,就从毓婷变成金毓婷了,真是醉了。。

配合点雌激素(炔雌醇),左炔诺孕酮还可以作为短效避孕药来使用。。。。

把曼月乐上的那根含左炔诺孕酮的胶管拔下来埋置到皮肤里,duang~皮下埋植避孕法就出来了。。。。
曼月乐激素节育环含有52mg左炔诺孕酮,每天释放20μg(0.02mg),可以连续释放5年。这个量算是比较低的了,我们刚才看到的那个特居乐三相片短效避孕药最低剂量的一片药,也含有50μg的左炔诺孕酮,高剂量的药片更是含有125μg左炔诺孕酮。
短效避孕药——最可靠的避孕方式之一 – 避孕这件屌事 – 知乎专栏
我的上篇文章写的短效避孕药,提到了激素避孕法的原理。没看过的可以去看看,这里就不赘述了。
节育环的缺点
这个就没啥好说的了,子宫里放个异物,无论如何都是不爽的,腰酸背痛、痛经、经期紊乱、经期出血量和出血时间增加啥的都是常见的副作用。尤其是含铜的活性环会导致经期血崩(铜离子溶血);含左炔诺孕酮的曼月乐可能会导致闭经(等于每天吃短效避孕药一直不停)。
还有几点是需要注意的:
1、节育环的可靠性相差很大,活性的好一点,惰性的由于没有附加Buff会更差一些。戴环怀孕的比比皆是,多为计生委免费发放的那种。含铜和含孕激素的可靠性会高一些,但是相应的副作用也会有一些高;
2、节育环是会脱落的,戴环的之前要选好合适自己子宫形状、大小的环,这样可以减少节育环从子宫脱落的概率;
3、到了节育环的使用期限,或者女人已经绝经了,一定要把环取出来。有的人不取出来,时间长了,节育环就和子宫长在一起了。真的有这种人的哦,那种惰性的节育环可以用20年,比如30多岁的时候放进去搞忘了,一直到6、70岁都记不得要取,就会很麻烦了。
为啥计生委要大力推广节育环?
这个其实也很简单的。
1、节育环可控。上环和取环都要在医院做,有记录可查。避孕药不愿意吃或者避孕套不愿意戴,这些都是不可控的,而环和结扎是可控的。
2、价格低,使用时间长。节育环说白了就是塑料或者不锈钢加点铜或者药,成本低的要死,直接从厂家拿货的话,几十块钱的东西就可以避孕10多年,多值啊。免费发!
3、可靠性还不错,而且不影响性交的快感,取了之后还可以怀孕。
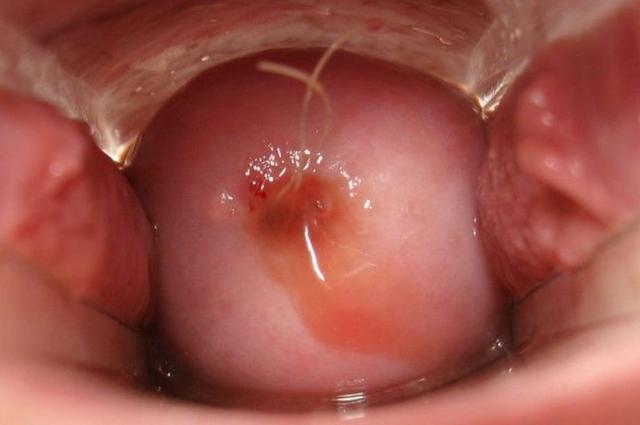
上环怎么上?
这个我亲自来给大家做个演示吧:

环其实不大的,我手上这个是元宫形的金属环,含铜的。

这两根白色的杆子就是节育环的安装器。

环已经安装好了,用这个杆子把环送入子宫,然后推一下里面的杆子,环就安置好了,就像下面这样。

手术过程中,要用窥阴器撑开子宫和宫颈。

我们看到有些环后面带着一根塑料绳,这个绳子是为了取出方便的,绳子很长,环放好了之后要把绳子剪短,就像下图这样。

下面这种环不带绳子,放进去就好了。


所以
最后再说两句吧,节育环呢其实也是一种还说得过去的避孕方式。之所以在国内被这么多人痛斥,主要是因为计生委的强制上环,让一些确实不适合这种避孕方式的人遭受痛苦。而且没有给民众足够的知情权,原理什么的不跟百姓讲,让百姓自己选型号百姓也不会选,医生也没有严格按照上环的要求做那些子宫形状的检查和禁忌症检查,造成很多人上环后出现不适。同时,由于节育环的使用量大,所以出现上环怀孕的人群数量也很大,这就显得节育环的可靠性特别低。
我在YouTube看避孕方面的视频的时候,也看到不少人说使用节育环(IUD)没遇到副作用的,所以这个玩意也和短效避孕药一样,是试了才知道的。
哦,对了。本文配的主图,相信大家在节育环的相关文章里都见过的。那个透明的圆环,其实不是节育环。那个是阴道激素环,是放置在阴道深处,不是放在子宫里的。那其实是种激素避孕法啦,和节育环没有关系的,就是硅胶持续释放孕激素抑制排卵,和曼月乐的左炔诺孕酮有点像而已。


相关文章:




